Angiolymphoid hyperplasia with eosinophilia

Angiolymphoid hyperplasia with eosinophilia
Other namesEpithelioid hemangioma
Angiolymphoid hyperplasia with eosinophilia
SpecialtyDermatology Edit this on Wikidata

Angiolymphoid hyperplasia with eosinophilia (also known as:[1] "Epithelioid hemangioma," "Histiocytoid hemangioma," "Inflammatory angiomatous nodule," "Intravenous atypical vascular proliferation," "Papular angioplasia," "Inflammatory arteriovenous hemangioma," and "Pseudopyogenic granuloma") usually presents with pink to red-brown, dome-shaped, dermal papules or nodules of the head or neck, especially about the ears and on the scalp.[2]

It, or a similar lesion, has been suggested as a feature of IgG4-related skin disease, which is the name used for skin manifestations of IgG4-related disease.[3][4]

Signs and symptoms

Angiolymphoid hyperplasia with eosinophilia is characterized by papulonodular lesions on the head and neck that are violaceous or erythematous.[5] Lesions on the genital area, upper limbs, and trunk are uncommon. The lesions could be painful, pruriginous, or asymptomatic. Peripheral eosinophilia and lymphadenomegaly could be present.[6]

Causes

Currently, the cause of angiolymphoid hyperplasia with eosinophilia is unknown. Several theories have been proposed, but none of them have proven to be conclusive or definitive. These include reactive processes, neoplastic processes, and infectious mechanisms that may be connected to the human immunodeficiency virus.[7]

Though its significance in the etiology of angiolymphoid hyperplasia with eosinophilia remains unclear, the distinctive inflammatory infiltrate in angiolymphoid hyperplasia with eosinophilia seems to be a crucial aspect of this illness.[7] Vascular proliferation may be explained by the endothelial cells' response to proliferative stimuli produced by the inflammatory cells and immunologic allergic reaction that surround them.[8][9] Elevated serum estrogen levels,[8][10] local trauma,[9][11] and arteriovenous shunting[8][12] are most likely contributing factors.[7]

The TEK gene, which codes for the endothelial cell tyrosine kinase receptor Tie-2, was found to contain a mutation in a case of dermal angiolymphoid hyperplasia with eosinophilia, suggesting that specific molecular changes may play a role in the pathophysiology of this condition.[13]

While angiolymphoid hyperplasia with eosinophilia is thought to be a benign tumefaction, it has been linked to a number of lymphoproliferative disorders, which lends credence to the argument put forth by some that angiolymphoid hyperplasia with eosinophilia could occasionally be a monoclonal T-cell process.[14][15] Follic mucinosis was found to be present concurrently in a small number of angiolymphoid hyperplasia with eosinophilia cases.[16] A clear correlation between angiolymphoid hyperplasia with eosinophilia and mycosis fungoides has not yet been documented, and this association is fairly ambiguous.[7] Remarkably, a patient with angiolymphoid hyperplasia with eosinophilia has been documented to develop peripheral T-cell lymphoma.[17] T-cell receptor gene (TCR) rearrangement and monoclonality have also been found in angiolymphoid hyperplasia with eosinophilia cases.[14][15] The same monoclonal TCR gene rearrangement was found in both lesions in a patient, who had both peripheral T-cell lymphoma and angiolymphoid hyperplasia with eosinophilia.[15]

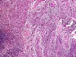
Diagnosis

A complete blood count, which is part of the laboratory analysis, indicates peripheral blood eosinophilia in about 20% of the cases.[8]

To make the diagnosis, a biopsy of the lesions is needed. Strong reactivity for CD31 and lower reactivity for CD34 and factor VIII-related antigen is shown by an immunohistochemical analysis.[18]

When angiolymphoid hyperplasia with eosinophilia lesions are examined under a microscope, a polymorphous vascular pattern made up of uniformly spaced linear and dotted vessels is visible over a background that ranges in color from pink to red.[19]

Treatment

The preferred course of treatment is surgical excision; after being fully removed, angiolymphoid hyperplasia with eosinophilia rarely returns.[20] Other treatments include cryosurgery,[21] carbon dioxide laser,[22] pulsed-dye laser,[23] and Mohs micrographic surgery.[24]

See also

References

  1. ^ Rapini, Ronald P.; Bolognia, Jean L.; Jorizzo, Joseph L. (2007). Dermatology: 2-Volume Set. St. Louis: Mosby. ISBN 978-1-4160-2999-1.
  2. ^ James, William; Berger, Timothy; Elston, Dirk (2005). Andrews' Diseases of the Skin: Clinical Dermatology. (10th ed.). Saunders. ISBN 0-7216-2921-0.
  3. ^ Yoshiki Tokura; Hiroaki Yagi; H. Yanaguchi; Yuta Majima; Akira Kasuya; Taisuke Ito; M Maekawa; Hideo Hashizume (November 2014). "IgG4-related skin disease". British Journal of Dermatology. 171 (5): 959–967. doi:10.1111/bjd.13296. PMID 25065694. S2CID 5374017.
  4. ^ Yasuhito Hamaguchi; Manabu Fujimoto; Yukiyo Matsushita; Seiko Kitamura-Sawada; Mitsuhiro Kawano; Kazuhiko Takehara (2011). "IgG4-related skin disease, a mimic of angiolymphoid hyperplasia with eosinophilia". Dermatology. 223 (4): 301–305. doi:10.1159/000335372. PMID 22269779. S2CID 22928854.
  5. ^ Nogueira, Andreia; Accioly Filho, José Wilson; Castro, Maria Cristina Ribeiro de; Maceira, Juan Piñero; Ramos-e-Silva, Marcia (2003). "Hiperplasia angiolinfóide com eosinofilia: relato de dois casos". Anais Brasileiros de Dermatologia. 78 (1). FapUNIFESP (SciELO): 79–85. doi:10.1590/s0365-05962003000100008. ISSN 0365-0596.
  6. ^ Esteves, Paola; Barbalho, Marcella; Lima, Tiago; Quintella, Leonardo; Niemeyer-Corbellini, João Paulo; Ramos-e-Silva, Marcia (May 29, 2015). "Angiolymphoid Hyperplasia with Eosinophilia: A Case Report". Case Reports in Dermatology. 7 (2). S. Karger AG: 113–116. doi:10.1159/000381843. ISSN 1662-6567. PMC 4478319. PMID 26120306.
  7. ^ a b c d Guo, Ruifeng; Gavino, Alde Carlo P. (May 1, 2015). "Angiolymphoid Hyperplasia With Eosinophilia". Archives of Pathology & Laboratory Medicine. 139 (5): 683–686. doi:10.5858/arpa.2013-0334-rs. ISSN 1543-2165. PMID 25927152.
  8. ^ a b c d Olsen, Thomas G.; Helwig, Elson B. (1985). "Angiolymphoid hyperplasia with eosinophilia". Journal of the American Academy of Dermatology. 12 (5). Elsevier BV: 781–796. doi:10.1016/s0190-9622(85)70098-9. ISSN 0190-9622. PMID 4008683.
  9. ^ a b Stewart, Nicholas; Zagarella, Samuel; Mann, Steve (2013). "Angiolyphoid hyperplasia with eosinophilia occurring after venipuncture trauma". The Journal of Dermatology. 40 (5): 393–395. doi:10.1111/1346-8138.12106. ISSN 0385-2407. PMID 23488565. S2CID 20965967.
  10. ^ Moy, Ronald L. (1992-06-01). "Estrogen Receptors and the Response to Sex Hormones in Angiolymphoid Hyperplasia With Eosinophilia". Archives of Dermatology. 128 (6): 825–828. doi:10.1001/archderm.1992.01680160109016. ISSN 0003-987X. PMID 1599273.
  11. ^ Fetsch, J F; Weiss, S W (July 1991). "Observations concerning the pathogenesis of epithelioid hemangioma (angiolymphoid hyperplasia)". Modern Pathology. 4 (4): 449–455. PMID 1924276.
  12. ^ Moesner, Jørgen (1981-10-01). "Angiolymphoid Hyperplasia With Eosinophilia (Kimura's Disease): A Case With Dermal Lesions in the Knee Region and a Popliteal Arteriovenous Fistula". Archives of Dermatology. 117 (10): 650–653. doi:10.1001/archderm.1981.01650100052028. ISSN 0003-987X. PMID 7283457.
  13. ^ Ye, Caisheng; Pan, Lingxiao; Huang, Yongbo; Ye, Runyi; Han, Anjia; Li, Songqi; Li, Xiaoxi; Wang, Shenming (2011). "Somatic mutations in exon 17 of the TEK gene in vascular tumors and vascular malformations". Journal of Vascular Surgery. 54 (6). Elsevier BV: 1760–1768.e3. doi:10.1016/j.jvs.2011.06.098. ISSN 0741-5214. PMID 21962923.
  14. ^ a b Kempf, Werner; Haeffner, Andreas C.; Zepter, Karoline; Sander, Christian A.; Flaig, Michael J.; Mueller, Beatrix; Panizzon, Renato G.; Hardmeier, Thomas; Adams, Volker; Burg, Günter (2002). "Angiolymphoid hyperplasia with eosinophilia: Evidence for a T-cell lymphoproliferative origin". Human Pathology. 33 (10). Elsevier BV: 1023–1029. doi:10.1053/hupa.2002.128247. ISSN 0046-8177. PMID 12395376.
  15. ^ a b c Gonzalez-Cuyar, Luis F; Tavora, Fabio; Zhao, X Frank; Wang, Guanghua; Auerbach, Aaron; Aguilera, Nadine; Burke, Allen P (2008). "Angiolymphoid hyperplasia with eosinophilia developing in a patient with history of peripheral T-cell lymphoma: evidence for multicentric T-cell lymphoproliferative process". Diagnostic Pathology. 3 (1): 22. doi:10.1186/1746-1596-3-22. ISSN 1746-1596. PMC 2427016. PMID 18510751.
  16. ^ Joshi, Rajiv (2007). "Angiolymphoid hyperplasia with follicular mucinosis". Indian Journal of Dermatology, Venereology and Leprology. 73 (5). Scientific Scholar: 346–347. doi:10.4103/0378-6323.35739. ISSN 0378-6323. PMID 17921619.
  17. ^ Andreae, J.; Galle, C.; Magdorf, K.; Staab, D.; Meyer, L.; Goldman, M.; Querfeld, U. (2005). "Severe atherosclerosis of the aorta and development of peripheral T-cell lymphoma in an adolescent with angiolymphoid hyperplasia with eosinophilia". British Journal of Dermatology. 152 (5): 1033–1038. doi:10.1111/j.1365-2133.2005.06421.x. ISSN 0007-0963. PMID 15888166. S2CID 7040587.
  18. ^ Fetsch, John F; Sesterhenn, Isabell A; Miettinen, Markku; Davis, Charles J (2004). "Epithelioid Hemangioma of the Penis". The American Journal of Surgical Pathology. 28 (4). Ovid Technologies (Wolters Kluwer Health): 523–533. doi:10.1097/00000478-200404000-00012. ISSN 0147-5185. PMID 15087672. S2CID 33137366.
  19. ^ Rodríguez-Lomba, Enrique; Avilés-Izquierdo, Jose Antonio; Molina-López, Irene; Parra-Blanco, Verónica; Lázaro-Ochaita, Pablo; Suárez-Fernández, Ricardo (2016). "Dermoscopic features in 2 cases of angiolymphoid hyperplasia with eosinophilia". Journal of the American Academy of Dermatology. 75 (1). Elsevier BV: e19 – e21. doi:10.1016/j.jaad.2016.02.1145. ISSN 0190-9622. PMID 27317536.
  20. ^ Baghestani, Shahram; Firooz, Alireza; Ghazisaidi, Mohammad Reza (2011-02-01). "A refractory case of angiolymphoid hyperplasia with eosinophilia successfully treated by surgery". Journal of Dermatological Treatment. 22 (1): 49–51. doi:10.3109/09546630903440072. ISSN 0954-6634. PMID 20524877. S2CID 30142901.
  21. ^ Caca-Biljanovska, Nina; Arsovska-Bezhoska, Irina (2019-03-03). "Angiolymphoid Hyperplasia with Eosinophilia Successfully Treated with Cryotherapy". Open Access Macedonian Journal of Medical Sciences. 7 (5). Scientific Foundation SPIROSKI: 794–796. doi:10.3889/oamjms.2019.110 (inactive 11 July 2025). PMC 6447327. PMID 30962842.{{cite journal}}: CS1 maint: DOI inactive as of July 2025 (link)
  22. ^ Kaur, T; Sandhu, K; Gupta, S; Kanwar, Aj; Kumar, B (2004-09-01). "Treatment of angiolymphoid hyperplasia with eosinophilia with the carbon dioxide laser". Journal of Dermatological Treatment. 15 (5): 328–330. doi:10.1080/09546630410015547. ISSN 0954-6634. PMID 15370402. S2CID 36522330.
  23. ^ Abrahamson, Timothy G; Davis, David A (2003). "Angiolymphoid hyperplasia with eosinophilia responsive to pulsed dye laser". Journal of the American Academy of Dermatology. 49 (2). Elsevier BV: 195–196. doi:10.1067/mjd.2003.314. ISSN 0190-9622. PMID 12894122.
  24. ^ Miller, Christopher J.; Ioffreda, Michael D.; Ammirati, Christie T. (2004). "Mohs Micrographic Surgery for Angiolymphoid Hyperplasia with Eosinophilia". Dermatologic Surgery. 30 (8): 1169–1173. doi:10.1111/j.1524-4725.2004.30349.x. ISSN 1076-0512. PMID 15274714. S2CID 37140412.

Further reading

  • Chun, Soo Il; Ji, Hye Goo (1992). "Kimura's disease and angiolymphoid hyperplasia with eosinophilia: Clinical and histopathologic differences". Journal of the American Academy of Dermatology. 27 (6). Elsevier BV: 954–958. doi:10.1016/0190-9622(92)70293-o. ISSN 0190-9622. PMID 1479100.
  • Zaraa, I; Mlika, M; Chouk, S; Chelly, I; Mokni, M; Zitouna, M; Osman, A Ben (February 1, 2011). "Angiolymphoid hyperplasia with eosinophilia: A study of 7 cases". Dermatology Online Journal. 17 (2). California Digital Library (CDL): 1. doi:10.5070/d31n55422n. ISSN 1087-2108. PMID 21382284.