Carcinosarcoma
| Carcinosarcoma | |
|---|---|
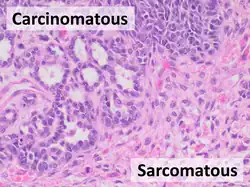
![]() | |
| Micrograph of a carcinosarcoma of the ovary. H&E stain, showing both carcinomatous and sarcomatous elements | |
| Specialty | Oncology |
Carcinosarcomas are malignant tumors that consist of a mixture of carcinoma (or epithelial cancer) and sarcoma (or mesenchymal/connective tissue cancer).[1] Carcinosarcomas are rare tumors, and can arise in diverse organs, such as the skin, salivary glands, lungs, the esophagus, pancreas, colon, uterus and ovaries.[1][2][3][4][5][6][7]
Cellular origins
Four main hypotheses have been proposed for the cellular origins of carcinosarcoma, based largely on the pathology of the disease.[1][3] First, the collision tumor hypothesis, which proposes the collision of two independent tumors resulting in a single neoplasm, based on the observation that skin cancers and superficial malignant fibrous histiocytomas are commonly seen in patients with sun-damaged skin; second, the composition hypothesis, which suggests that the mesenchymal component represents a pseudosarcomatous reaction to the epithelial malignancy; third, the combination hypothesis, which suggests that both the epithelial and mesenchymal components of the tumor arise from a common pluripotential stem cell that undergoes divergent differentiation; and fourth, the conversion/divergence hypothesis, which argues that the sarcomatous component of the tumor represents a metaplastic sarcomatous transformation of the epithelial component. Despite the remaining uncertainty on the mechanisms that generate these tumors, recent immunohistochemical, ultrastructural, and molecular genetic studies suggest and favor the notion of monoclonality in carcinosarcoma.[1][3] In addition, identical p53 and KRAS mutations have been identified in both epithelial and mesenchymal components of carcinosarcoma, findings that suggest an early alteration in the histogenesis of the tumor with late transformation or degeneration of the epithelial component into the sarcomatous component.[3]
See also
References
- ^ a b c d Zidar N, Gale N (2015). "Carcinosarcoma and spindle cell carcinoma--monoclonal neoplasms undergoing epithelial-mesenchymal transition". Virchows Arch. 466 (3): 357–358. doi:10.1007/s00428-014-1686-3. PMID 25420898. S2CID 38261875.
- ^ Braham E, Ben Rejeb H, Aouadi S, Kilani T, El Mezni F (2014). "Pulmonary carcinosarcoma with heterologous component: report of two cases with literature review". Annals of Translational Medicine. 2 (4): 41. doi:10.3978/j.issn.2305-5839.2014.02.10. PMC 4200607. PMID 25333016.
- ^ a b c d Loh TL, Tomlinson J, Chin R, Eslick GD (2014). "Cutaneous carcinosarcoma with metastasis to the parotid gland". Case Rep. Otolaryngol. 2014: 1–4. doi:10.1155/2014/173235. PMC 4190691. PMID 25328737.
- ^ Au JT, Sugiyama G, Wang H, Nicastri A, Lee D, Ko W, Tak V (2010). "Carcinosarcoma of the oesophagus - a rare mixed type of tumor". J. Surg. Case Rep. 2010 (7): 7. doi:10.1093/jscr/2010.7.7. PMC 3649142. PMID 24946341.
- ^ Shim HJ, Hong YK, Kim SJ, Choi YJ, Kang JG (2010). "Carcinosarcoma on ascending colon found by bowel perforation: a case report". J. Korean Soc. Coloproctol. 26 (5): 368–372. doi:10.3393/jksc.2010.26.5.368. PMC 2998018. PMID 21152142.
- ^ Gungorduk K, Ozdemir A, Ertas IE, Gokcu M, Telli E, Oge T, Sahbaz A, Sayhan S, Sanci M, Harma M, Ozalp S (2015). "Adjuvant treatment modalities, prognostic predictors and outcomes of uterine carcinosarcomas". Cancer Res Treat. 47 (2): 282–289. doi:10.4143/crt.2014.009. PMC 4398122. PMID 25358384.
- ^ George EM, Herzog TJ, Neugut AI, Lu YS, Burke WM, Lewin SN, Hershman DL, Wright JD (2013). "Carcinosarcoma of the ovary: natural history, patterns of treatment, and outcome". Gynecol. Oncol. 131 (1): 42–45. doi:10.1016/j.ygyno.2013.06.034. PMC 4230696. PMID 23838036.
External links
- Carcinosarcoma entry in the public domain NCI Dictionary of Cancer Terms
This article incorporates public domain material from Dictionary of Cancer Terms. U.S. National Cancer Institute.
