Jaffe–Campanacci syndrome
| Jaffe–Campanacci syndrome | |
|---|---|
| Other names | Multiple non-ossifying fibromatosis[1] |
![]() | |
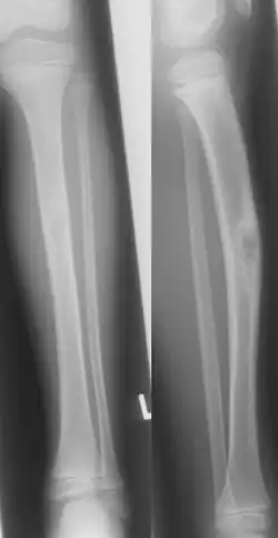
| Jaffe-Campanacci-Syndrome, boy 7 Y, tibial bowing and cortical/subcortial mixed sclerosis | |
| Specialty | Medical genetics |
Jaffe–Campanacci syndrome is one of the disorders associated with café au lait macules (CALMs). Presentations may include intellectual disability, disseminated non-ossifying fibromas of the long bones and jaw, hypogonadism or cryptorchidism, or giant cell granulomas of the jaw.[2]
It was characterized in 1958 and 1983.[3][4][5]
See also
References
- ^ RESERVED, INSERM US14-- ALL RIGHTS. "Orphanet: Multiple non ossifying fibromatosis". www.orpha.net. Archived from the original on 13 March 2022. Retrieved 20 April 2019.
{{cite web}}: CS1 maint: numeric names: authors list (link) - ^ Rapini, Ronald P.; Bolognia, Jean L.; Jorizzo, Joseph L. (2007). Dermatology: 2-Volume Set. St. Louis: Mosby. p. 831. ISBN 978-1-4160-2999-1.
- ^ synd/2486 at Whonamedit?
- ^ H. L. Jaffe.Non-ossifying fibromata. In: H. L. Jaffe, editor: Tumors and Tumorous Conditions of the Bones and Joints. Philadelphia, Lea & Febiger, 1958, pp 117-141.
- ^ Campanacci M, Laus M, Boriani S (November 1983). "Multiple non-ossifying fibromata with extraskeletal anomalies: a new syndrome?". J Bone Joint Surg Br. 65 (5): 627–32. doi:10.1302/0301-620X.65B5.6643569. PMID 6643569.
