Multifocal micronodular pneumocyte hyperplasia

Multifocal micronodular pneumocyte hyperplasia (MMPH) is a subtype of pneumocytic hyperplasia (hyperplasia of pneumocytes lining pulmonary alveoli).[1][2][3][4][5]
Several synonymous terms have been done for this entity: adenomatoid proliferation of alveolar epithelium, papillary alveolar hamartoma, multifocal alveolar hyperplasia, multinodular pneumocyte hyperplasia.
These multifocal lesions are observed in tuberous sclerosis,[6][7] and can be associated with lymphangioleiomyomatosis[8] and perivascular epithelioid cell tumour (PEComa or clear cell "sugar tumor")).[9]
It can be diagnosed through lung biopsy using thoracoscopy.[10]
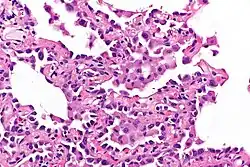
Microscopy
- Well-demarcated, nodular lesions ranging 2–5 mm in pulmonary parenchyma.
- Type II pneumocytes without nuclear atypia lined thickened alveolar septa and proliferated papillary structures.
- Enlarged cuboidal cells lining mildly thickened alveolar septa.[11]
- Enlarged cuboidal cells have abundant, eosinophilic cytoplasm and large, round nuclei.[12]
- Papillary pattern with irregular margin and lymphocyte infiltration in the stroma.[13]
- No proliferation of immature smooth muscle cells suggestive of lymphangioleiomyomatosis.
See also
References
- ^ Muir, T. E.; Leslie, K. O.; Popper, H; Kitaichi, M; Gagné, E; Emelin, J. K.; Vinters, H. V.; Colby, T. V. (1998). "Micronodular pneumocyte hyperplasia". The American Journal of Surgical Pathology. 22 (4): 465–72. doi:10.1097/00000478-199804000-00012. PMID 9537475.
- ^ Ishii, M; Asano, K; Kamiishi, N; Hayashi, Y; Arai, D; Haraguchi, M; Sugiura, H; Naoki, K; Tasaka, S; Soejima, K; Sayama, K; Betsuyaku, T (2012). "Tuberous sclerosis diagnosed by incidental computed tomography findings of multifocal micronodular pneumocyte hyperplasia: A case report". Journal of Medical Case Reports. 6 (1): 352. doi:10.1186/1752-1947-6-352. PMC 3512476. PMID 23072249.
- ^ Miravet Sorribes, L; Mancheño Franch, N; Batalla Bautista, L (2013). "Multifocal micronodular pneumocyte hyperplasia in a patient with tuberous sclerosis". Archivos de Bronconeumología. 49 (1): 36–7. doi:10.1016/j.arbres.2012.06.006. PMID 22884294.
- ^ Shintani, Y; Ohta, M; Iwasaki, T; Ikeda, N; Tomita, E; Nagano, T; Kawahara, K (2010). "A case of micronodular pneumocyte hyperplasia diagnosed through surgical resection". Annals of Thoracic and Cardiovascular Surgery. 16 (1): 45–7. PMID 20190710.
- ^ Kobashi, Y; Sugiu, T; Mouri, K; Irei, T; Nakata, M; Oka, M (2008). "Multifocal micronodular pneumocyte hyperplasia associated with tuberous sclerosis: Differentiation from multiple atypical adenomatous hyperplasia". Japanese Journal of Clinical Oncology. 38 (6): 451–4. doi:10.1093/jjco/hyn042. PMID 18535095.
- ^ Kamiya, H; Shinoda, K; Kobayashi, N; Kudo, K; Nomura, T; Morita, T; Fujii, T (2006). "Tuberous sclerosis complex complicated by pulmonary multinodular shadows". Internal Medicine (Tokyo, Japan). 45 (5): 275–8. doi:10.2169/internalmedicine.45.1136. PMID 16595993.
- ^ Kobashi, Y; Yoshida, K; Miyashita, N; Niki, Y; Matsushima, T; Irei, T (2005). "Multifocal micronodular pneumocyte hyperplasia in a man with tuberous sclerosis". Internal Medicine (Tokyo, Japan). 44 (5): 462–6. doi:10.2169/internalmedicine.44.462. PMID 15942095.
- ^ Maruyama, H; Seyama, K; Sobajima, J; Kitamura, K; Sobajima, T; Fukuda, T; Hamada, K; Tsutsumi, M; Hino, O; Konishi, Y (2001). "Multifocal micronodular pneumocyte hyperplasia and lymphangioleiomyomatosis in tuberous sclerosis with a TSC2 gene". Modern Pathology. 14 (6): 609–14. doi:10.1038/modpathol.3880359. PMID 11406664.
- ^ Flieder, D. B.; Travis, W. D. (1997). "Clear cell "sugar" tumor of the lung: Association with lymphangioleiomyomatosis and multifocal micronodular pneumocyte hyperplasia in a patient with tuberous sclerosis". The American Journal of Surgical Pathology. 21 (10): 1242–7. doi:10.1097/00000478-199710000-00017. PMID 9331299.
- ^ Fujitaka, K; Isobe, T; Oguri, T; Yamasaki, M; Miyazaki, M; Kohno, N; Takeshima, Y; Inai, K (2002). "A case of micronodular pneumocyte hyperplasia diagnosed through lung biopsy using thoracoscopy". Respiration; International Review of Thoracic Diseases. 69 (3): 277–9. doi:10.1159/000063635. PMID 12097776. S2CID 38358651.
- ^ Suzuki, K; Seyama, K; Hayashi, T; Yamashiro, Y; Shiraishi, A; Kuwatsuru, R (2013). "Reversed halo sign in tuberous sclerosis complex". Case Reports in Radiology. 2013: 1–4. doi:10.1155/2013/428501. PMC 3789275. PMID 24159404.
- ^ Suzuki, K; Seyama, K; Hayashi, T; Yamashiro, Y; Shiraishi, A; Kuwatsuru, R (2013). "Reversed halo sign in tuberous sclerosis complex". Case Reports in Radiology. 2013: 1–4. doi:10.1155/2013/428501. PMC 3789275. PMID 24159404.
- ^ Maruyama, H; Seyama, K; Sobajima, J; Kitamura, K; Sobajima, T; Fukuda, T; Hamada, K; Tsutsumi, M; Hino, O; Konishi, Y (2001). "Multifocal micronodular pneumocyte hyperplasia and lymphangioleiomyomatosis in tuberous sclerosis with a TSC2 gene". Modern Pathology. 14 (6): 609–14. doi:10.1038/modpathol.3880359. PMID 11406664.