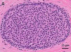
Usual ductal hyperplasia


- Estrogen receptor showing heterogeneous positivity, rather than the diffusely positive expression seen in atypical ductal hyperplasia (ADH)
- CK 5/6 with a mosaic pattern, predominantly in the central zone, rather than the negative expression seen in ADH
- E-cadherin and p120 showing membranous staining, rather than being negative and cytoplasmic, respectively, in lobular carcinoma in situ
- Myoepithelial cell stain (calponin in this case) showing circumferential staining, rather than the absent staining seen in breast cancer.[1]
Usual ductal hyperplasia (UDH) is a benign lesion of the breast wherein cells look very similar to normal. It is a spectrum of changes that can range from minimal stratification of cells to proliferations that are just short of atypical ductal hyperplasia.
Histopathology
Usual ductal hyperplasia is typically a cohesive proliferation with haphazard, jumbled cell arrangement or streaming growth pattern. Cells have mild variation in cellular and nuclear size and shape.[2]
References
- ^ Image by Mikael Häggström, MD. Source for findings: Sofia Lérias, M.D., Melinda Lerwill, M.D. "Usual ductal hyperplasia". Pathology Outlines.
{{cite web}}: CS1 maint: multiple names: authors list (link) Last author update: 11 February 2021 - ^ Sofia Lérias, M.D., Melinda Lerwill, M.D. "Usual ductal hyperplasia". Pathology Outlines.
{{cite web}}: CS1 maint: multiple names: authors list (link) Last author update: 11 February 2021. Last staff update: 25 April 2022